Announcement: As we welcome the Lunar New Year, we will be closed from Mon, 16 Feb to Mon, 23 Feb, reopening Tue, 24 Feb․ 恭喜发财,愿新的一年平安常在,健康常伴,万事皆好。🍀 May peace and health be with you always, and may ALL be WELL 🍀

Not All Scans Measure Scoliosis Accurately

Learn why X-ray is used for curvature measurement and when MRI or CT is appropriate.

Measure precisely

Why Scoliosis Measurements Can Differ Between Practitioners

And Why We Strictly Use Recent X-Ray and Cobb Angle Protocol

It is not uncommon for patients to receive different scoliosis measurements from different practitioners. This can be confusing — and understandably concerning for parents.

The reason is not disagreement, but methodology.


Scoliosis Is Measured — Not Estimated

Scoliosis is not a subjective diagnosis.

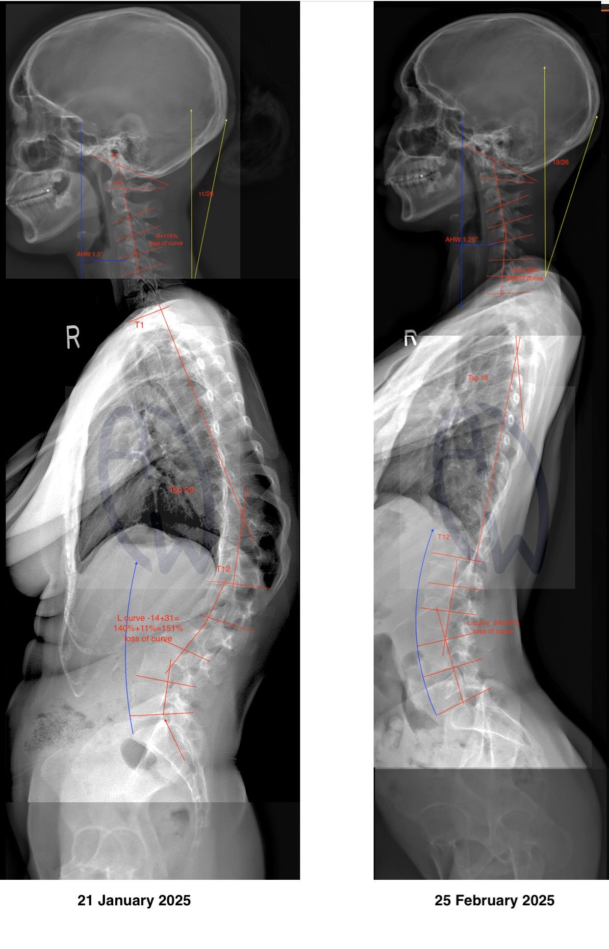
It is defined by measured spinal curvature, most commonly using the Cobb angle, a method established in 1948 and still used globally today.

However, how the Cobb angle is measured matters just as much as what is measured.


Why Measurements Can Differ Between Orthopaedic and Chiropractic Settings

1. Different Clinical Objectives

Orthopaedic surgeons often measure scoliosis to determine:

  • Surgical thresholds

  • Brace eligibility

  • Risk of progression requiring intervention

In contrast, scoliosis-focused chiropractic care measures to:

  • Monitor structural change over time

  • Guide conservative, non-invasive management

  • Track progression, stabilization, or response to care

Different goals lead to different levels of precision and repetition.


2. End Vertebra Selection Matters

The Cobb angle depends on:

  • Identifying the most tilted vertebrae at the top and bottom of the curve

  • Drawing precise reference lines

Small changes in vertebra selection can alter the measurement by 3–5 degrees, even when viewing the same X-ray.

This is a known and documented inter-observer variability, not error.


3. Standing Position and Weight-Bearing

Scoliosis is a gravity-dependent condition.

  • Standing, weight-bearing X-rays show the true functional curve

  • Supine or non-weight-bearing imaging often underestimates curvature

This is why we require standing spinal X-rays, not recumbent images.


Why We Insist on Recent X-Ray Imaging

The Theory Behind Cobb Angle Requires Current Data

The Cobb angle is not a static value.

It changes with:

  • Growth

  • Load

  • Muscle adaptation

  • Degeneration

  • Compensation patterns

Using an outdated X-ray means measuring a spine that no longer exists.

A treatment plan is only as accurate as the image it is based on.


Clinical Best Practice

We strictly use recent X-rays because:

  • Growth can change curvature rapidly in children and adolescents

  • Adults can experience progression due to degeneration or posture

  • Old images risk over- or under-treatment

This is not over-imaging — it is responsible measurement.


Why We Stand by Our Measurement Protocol

We follow a consistent, repeatable Cobb angle method:

  • Same imaging view

  • Same weight-bearing position

  • Same measurement landmarks

  • Same clinical objective: safe, conservative care

This consistency reduces variability and allows:

  • Meaningful comparison over time

  • Clear communication with other healthcare providers

  • Ethical decision-making


Cobb Angle: A Measurement Tool, Not a Diagnosis Alone

It is important to understand:

  • Cobb angle measures curve magnitude

  • It does not define pain

  • It does not dictate surgery on its own

  • It does not replace clinical judgement

It is one part of a broader clinical picture.


Collaboration, Not Competition

Different practitioners may record different numbers —

but the spine has not changed overnight.

What matters most is:

  • Trend over time

  • Rate of progression

  • Functional impact

  • Patient safety

We respect the role of orthopaedic surgeons, radiologists, physiotherapists, and medical specialists.

Our role is to measure carefully, act conservatively, and refer appropriately.


Our Principle

We do not chase numbers.

We chase clarity, consistency, and care.

That is why we:

  • Use Cobb angle measurement

  • Require recent X-rays

  • Measure the spine under real-life conditions

  • Stay within evidence-based practice